Rekonstruktion der lateralen Sprunggelenksbänder

Die lateralen Bänder haben am Sprunggelenk eine entscheidende Funktion, was die Stabilität des Fußes bzw Sprunggelenks anlangt. Häufig kommt es zu Verletzungen dieser Bandstrukturen bei Lauf- oder Ballsportarten. Das typische Auslösemanöver ist das sogenannte „Überknöcheln". Bei akutem oder chronischen Abriß dieser Bänder ist mitunter die operative Rekonstruktion bzw deren Ersatz notwendig, um wieder eine stabile Funktion zu erwirken und Spätschäden vermeiden zu können. Gerade bei aktiven und jüngeren Personen sollte dies überlegt und in Erwägung gezogen werden. Der Eingriff wird, wenn möglich, in arthroskopischer Technik durchgeführt. Der große Vorteil dieser Techniken besteht darin, daß nur kleine Hautwunden gesetzt werden und somit die postoperative Rehabilitationsphase deutlich verkürzt und erleichtert werden kann.
Finden sich intraoperativ Bandreste können diese rekonstruiert werden und mittels eines Kunstbandes verstärkt werden.

Sind beide Bandanteile defekt, werden beide durch ein Kunstband ersetzt.
Dieses wird dann an Stelle der ursprünglichen Bandstrukturen eingebracht und in eigens gebohrten Knochentunneln mittels Implantaten fixiert.P ostopertiv ist die Verwendung einer Sprunggelenksschiene und für 3 Wochen die Verwendung von Unterarmstützkrücken notwendig.
Nicht in allen Fällen muss eine Operation durchgeführt werden. Die Entscheidung wird für eine Operation oder dagegen wird üblicherweise erst nach initial durchgeführter konservativer Therapie mittels Schienen getroffen. Besteht 3 Monaten nach der Verletzung und erfolgter Schienenbehandlung eine gute Stabilität des Sprunggelenks und eine komplette Schmerzfreiheit, ist ein nicht-operatives Vorgehen auf jeden Fall gerechtfertigt.
Rekonstruktion des Deltabandes

Ein weiteres wichtiges Band zur Stabilisierung des Fußes stellt das sogenannte Deltaband am Innenknöchel dar. Dieses Band dient neben der Stabilisierung des oberen Sprunggelenks der Stabilisierung des gesamten inneren Fußskeletts. Bei Verletzungen dieses Bandes kann es zudem zur Entwicklung eines erworbenen Plattfußes kommen. Wie bei den lateralen Bändern sind die klinischen Leitsymptome bei Verletzungen dieses Bandes eine Instabilität des oberen Sprunggelenks bzw des Fußes an sich.
Bei frischen Verletzungen können die Bandreste mittels Nähten gefasst und vernäht werden. Mitunter wird zur Verstärkung des geschwächten Bandes ein Kunstband darübergelegt und am Innenknöchel bzw Sprungbein fixiert. Alternativ kann auch Eigengewebe (Sehnengewebe) als verstärkendes Band verwendet werden (Rekonstruktion). Dies wird meistens nach länger zurückliegenden Verletzungen notwendig. Typischerweise kommt zum Ersatz eines der Seitenbänder die Semitendinosus-Sehne zur Anwendung (Entnahme Innenseite des Kniegelenks). Die Sehne wird dann an der Stelle des Seitenbandes eingebracht und über einen eigens gebohrten Knochentunnel mittels Implantaten fixiert.
Rekonstruktion des Spring Ligaments

Das dritte wichtige Band zur Stabilisierung des Fußes, vor allem der inneren Gewölbsstruktur ist das sogenannte Spring ligament (Pfannenband). Dieses Band ist zwischen Fersenbein und Kahnbein ausgespannt und stützt den sogenannten Taluskopf von „unten". (Bild6 spring ligament röntgent) Am häufigsten ist dieses Band im Rahmen des sogenannten erworbenen Plattfußes insuffizient bzw abgerissen. Das typische klinische Symptom bei Ausfall dieses Bandes, abgesehen vom lokalen Schmerz unter dem Innenknöchel ist eine Deformierung des Fußes mit Abflachung (Plattfuß) und Außenrotation der Zehen sowie eine Instabilität, v.a. auch im Zehenspitzenstand. Bei Ruptur oder Insuffizienz dieses Bandes kommt es durch den sich entwickelnden Fußkollaps zu einer Abnützung aller Fußgelenke inklusive des oberen Sprunggelenkes, sodaß eine Rekonstruktion unvermeidbar ist. Diese erfolgt normalerweise mittels Nähten im Rahmen zusätzlicher Operationsverfahren (Calcaneusosteotomie, Flexor digitorum Transfer). Manchmal ist eine Verstärkung durch ein Kunstband notwendig. Sehr selten kann auch eine korrigierende Versteifung des medialen Chopartgelenks (zwischen Sprungbein und Kahnbein) notwendig werden. (Arthrodesen)
Rekonstruktion des Syndesmosenbandes

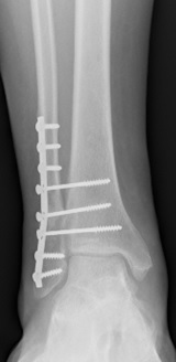
Seltener ist das Verbindungsband zwischen Schien- und Wadenbein im Sprunggelenksbereich betroffen. Im Rahmen von Überknöchelungstraumatas kann es zum Abreißen oder Einreißen dieser Bandstruktur führen. Damit verliert das Sprunggelenk seine Stabilität, da es schon beim Stehen zu einem vermehrten Aufklappen der Knöchelgabel kommen kann. Diese Verletzung tritt üblicherweise in Kombination mit anderen Verletzungen des Sprunggelenks, wie Knorpelschäden oder Rupturen der lateralen Sprunggelenksbänder auf.
Bei frischen Verletzungen können meistens Bandanteile mit Fäden augmentiert und am Knochen wieder fixiert werden. Mitunter erfolgt die Fixierung des Bandes mittels im Knochen eingebrachter Ankersysteme, über die das Band angenäht werden kann. Um ein Ausreißen der Anker bzw Fäden verhindern zu können, werden üblicherweise „Stellschrauben", die das Wadenbein am Schienbein etwas oberhalb des Sprunggelenks fixieren, gesetzt.

Diese Schrauben müssen vor Beginn der Gehbelastung in aller Regel entfernt wieder werden. Alternativ kann ein sogenanntes Tight Rope, ein Kunstband, das über einen Bohrkanal das Schien- am Wadenbein fixiert, verwendet werden.