Im Erwachsenenalter ist eine Beinlängendifferenz von 0,5 bis knapp einem Zentimeter bei fast 50% der Bevölkerung als normal zu werten. Eine geringe Differenz hat somit nicht in jedem Fall einen Krankheitswert und muß/soll in diesen Fällen auch nicht behandelt werden.
Unterschiede von mehr als diesem Ausmaß sind auf jeden Fall abklärungs- und meistens auch therapiebedürftig. Durch die ungleiche Länge kommt es auf jeden Fall zu einem Beckenschiefstand und zu einer Ausgleichsskoliose der Wirbelsäule. Diese kann bei längerem Bestehen zu einer fortgeschrittenen Osteochondrose (Abnützung) der Wirbelkörper und der Facettengelenke (Spondylarthrose) führen. Bei rechtzeitigem Beginn der Therapie und großteiligem Ausgleich kann dies häufig verhindert werden.
Im Kindesalter (und auch im Erwachsenenalter) muß zunächst nachgewiesen werden, ob eine tatsächliche oder eine funktionelle Beinlängendifferenz besteht. Dies geschieht durch den erfahrenen Kinderorthopäden klinisch durch eine körperliche Untersuchung und nicht mittels Röntgenbildern.
Bei einer funktionellen Beinlängendifferenz kann mittels manualtherapeutischer Behandlung das Problem oft schon behoben werden. Diese entsteht dadurch, daß mehrere Gelenke des Wirbel-Beckenüberganges "blockiert" als nicht im vollen Umfang beweglich sind.
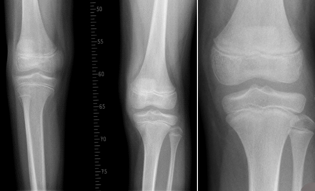
Besteht eine tatsächliche Beinlängendifferenz, ist es wichtig, mittels mehrerer Kontrollen und Messungen (dazu ist im Normalfall ein Röntgen notwendig), eine Längenabschätzung bis Wachstumsabschluß zu erstellen. Damit kann berechnet werden, wie groß und vor allem auch wo (am Ober- oder Unterschenkel) die Differenz bis zum Wachstumsende ausmachen wird. Hilfreich sind dabei auch Röntgenbilder mit aufgedrucktem Zentimeter-Maßstab (Orthoradiographie)

Als Therapiemaßnahmen kommen bei geringeren Differenzen ein Schuhausgleich (dabei ist meistens der Komplettausgleich für den Patienten störend) in Frage.
Bei Differenzen über 2 bis 3 Zentimetern sollten operative Therapien überlegt werden. Ist das Wachstumsende (Pubertät) noch nicht erreicht, kann mittels einer perkutanen Technik (minimale Technik über Stichinzision von ca 5 mm Länge) in Volnarkose die Wachstumsfuge des längeren Beines im Wachsen gestoppt werden. Der Patient hat danach kaum Schmerzen, muß für 3 Wochen mit Stützkrücken gehen und fällt für 6 Wochen vom Laufsport aus. Ansonsten bestehen keine Einschränkungen. Diese Operation erfolgt üblicherweise um das 11.bis 12. LJ bei Mädchen und das 13. LJ bei Knaben und erfordert eine noch offenen Wachstumsfuge. Nach Wachstumsabschluß ist diese Methode daher nicht mehr zielführend.

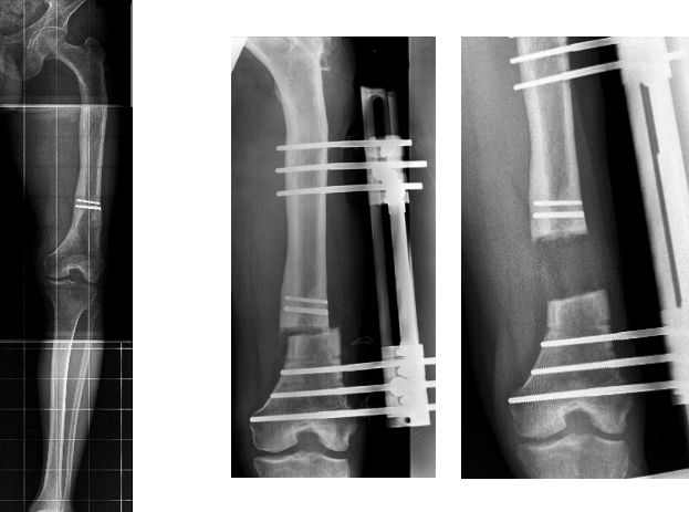
Bei der zweiten Technik kann auch nach Wachstumsabschluß das kürzere Bein verlängert werden. Dazu wird der Knochen durchtrennt und mittels eines von außen an den Knochen angebrachten Apparates der durchtrennte Knochen in die Länge gezogen. Die Verlängerungszeit beträgt 1 Milimeter pro Tag. Nach Erreichen der gewünschten Länge muß der Apparat noch belassen werden, bis der Knochen ausgehärtet ist. In der gesamten Zeit ist der Patient durch den außen anliegenden Apparat erheblich in der Bewegungsfreiheit reduziert. Der Vorteil dieser Methode liegt darin, daß eine Korrektur auf den Milimeter genau möglich ist. Es können dabei auch Korrekturen in einer anderen Ebene (Valgus, Varus, Extension, Flexion) korrigiert werden.

Bild vor und nach der Anlage des Fixateurs als auch nach Erreichen der Verlängerunsstrecke
Besteht eine schwerwiegende Verkürzung bzw multidirektionale (gleichzeitige Fehlstellung in mehreren Raumebenen) Fehlstellung, ist oft die Verwendung eines Ring-Fixateurs sinnvoll. Dadurch lassen sich gleichzeitig Korrekturen in mehreren Ebenen durchführen.

Die unterschiedliche Beinlänge im Rahmen von angeborenen Fehlbildungen an der unteren Extremität stellt eine besondere Herausforderung dar. Da hierbei häufig komplexe Achsfehlstellungen und andere Fehlbildungen bestehen, lassen sich die oben angeführten Therapiestrategien hierbei oft nicht eins zu eins umsetzen. Es bedarf einer großen kinderorthopädischen Erfahrung, um die richtigen Schlüsse und Therapieempfehlungen abgeben zu können. Nicht selten wird die Beinlängendifferenz bei diesen Kindern nicht immer schon im Neugeborenenalter diagnostiziert bzw wahrgenommen. Bei solchen Syndromen oder Erkrankungen (Fibuläre Hemimelie, Klumpfußsyndrom,...) sollte diese Thematik jedoch auch bereits in jungen Jahren mit den Eltern diskutiert werden, um eine realistische Therapieabschätzung und Prognose erstellen zu können.