- Oberes und unteres Sprunggelenk
- Chopartgelenk
- Andere Mittelfußgelenke
- Lapidusarthrodese
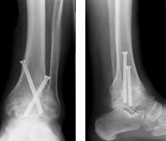
Im hinteren Fuß- bzw Sprunggelenksbereich sind an erster Stelle die operative Versteifung des oberen Sprunggelenkes zu nennen. Diese wird meistens bei Abnützungen, bei Instabilitäten oder auch bei Fehlstellungen wie einem fixierten Spitzfuß oder auch dem Fallfuß durchgeführt. Wenn möglich, wird diese Versteifung durch uns mittels arthroskopischer Technik vorgenommen. Dies bietet den Vorteil eines sehr geringen Wundrisikos. Auch die Zeit, bis eine stabile knöcherne Situation resultiert, kann damit verkürzt werden.

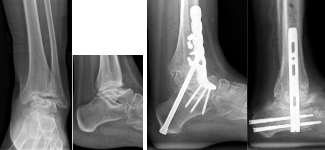
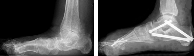
Bei voroperierten Patienten oder Patienten mit größeren Knochendefekten wie bei einer Hämophilie A (Bluter-Krankheit) sind komplexere Techniken mittels Verplattungen oder retrogradem Einbringen eines Marknagels unter Mitnahme des unteren Sprunggelenkes notwendig. Teilweise muß der knöcherne Defekt dann mittels Knocheninterponat überbrückt werden.

Versteifung des oberen und unteren Sprunggelenkes mit Knocheninterponat bei hämophilem Patienten (linke 3 Bilder) - Revision mittels retrogradem Nagel
Ist die Knochenqualität schlecht, kann die Stabilisierung mittels winkelstabiler Plattensysteme vorgenommen werden.
Um das Weichteilrisiko möglichst gering zu halten, kann die Operation in arthroskopischer Technik vorgenommen werden). Dies reduziert den postoperativen Heilungsverlauf, benötigt aber ein hohes Maß an chirurgischer Erfahrung. Für diese Technik sind spezielle kleine Plattensystem entwickelt worden, um eine zusätzliche Stabilisierung erreichen zu können, falls die Knochenqualität eine stabile Fixierung mittels zweier Schrauben nicht zulässt.

Auch Versteifungen des unteren Sprunggelenkes können, wenn keine gravierenden Fehlstellungen bestehen, mittels arthroskopischer Technik vorgenommen werden. Sind starke Fehlstellungen vorhanden, wird die Versteifung gleichzeitig mit der Achskorrektur über einen offenen Hautschnitt vorgenommen.

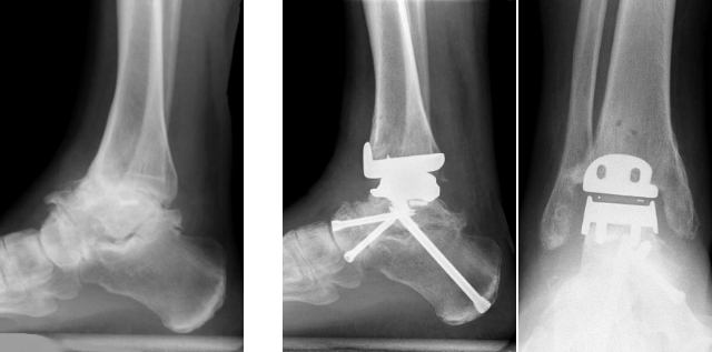
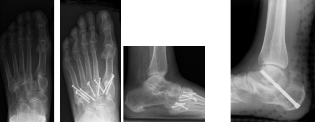
Versteifung des unteren Sprunggelenkes mit gleichzeitiger Versteifung des Chopartgelenks und Prothese des oberen Sprunggelenkes
Das untere Sprunggelenk wird häufig gleichzeitig mit dem medialen (Double Arthrodese) und lateralen Chopartgelenk (Triple-Arthrodese) versteift und korrigiert. Aufgrund der komplexen Anatomie sollten allfällige Fehlstellungen immer mitkorrigiert werden. Geschieht dies unzureichend, wird eine Revisionsoperation notwendig. Dabei muß unbedingt die Fehlstellung korrigiert werden, gelegentlich sind auch hier Defektauffüllungen mit Knochenmaterial durchzuführen. Die Nachbehandlung erfolgt auf jeden Fall für 10-12 Wochen mittels Unterschenkelgipsen.

Werden sowohl das untere Sprunggelenks als auch das mediale und laterale Chopartgelenk in den pathologischen Prozeß miteinbezogen und müssen versteift werden, spricht man von einer Triplearthrodese. Dies ist häufig das Endresultat von Klumpfuß- bzw. Plattfußsituationen . Auch hier sind teilweise weitere Korrekturoperationen notwendig.

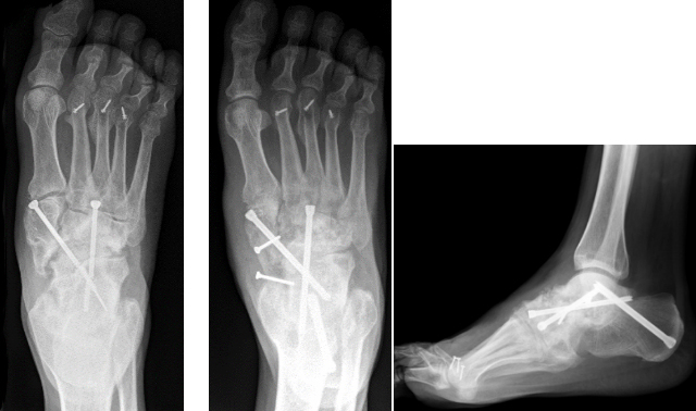
Auch im mittleren Fußbereich sind teilweise Versteifungen bei symptomatischen Abnützungen notwendig. Da sich in diesem Bereich die größte Krümmung der Fußwölbung befindet, ist auch in dieser Gelenksregion postoperativ die Nachbehandlung mittels Gips obligat.

Versteifung von Mittelfußgelenken