Dabei können sowohl Operationen der Gelenksregionen oberes Sprunggelenk (Impingment, Bandrekonstruktion, Pridiebohrung, Synovektomie, Versteifung), unteres Sprunggelenk (Osteophytenentfernung, os trigonum Resektion, Versteifung) sowie des Großzehengrundgelenks (Knorpelbehandlung, Versteifung) durchgeführt werden. Zudem können sowohl knöcherne Prominenzen und Neubildungen am oberen und unteren Fersenbein (Haglundexostose und „plantarer Fersensporn") als auch am hinteren Sprungbein und im Verlauf der Peronealsehnengrube entfernt werden (os tibiale externum, os trigonum, plantarer und dorsaler Fersensporn, os peroneale).
Neben knöchernen Operationen können auch einige Sehnenoperationen arthroskopisch durchgeführt werden.
ARTHROSKOPISCH BEHANDELBARE ERKRANKUNGEN AN FUSS UND SPRUNGGELENK
- Arthrose oberes Sprunggelenk
- Arthrose des unteren Sprunggelenkes
- arthroskopische Bandrekonstruktion am oberen Sprunggelenk
- Achillessehnenerkrankungen wie Achillodynie (schmerzhaft Auftreibung der Sehne)
- Haglundferse
- "plantarer Fersensporn"
- Osteochondrale Defekte am Sprungbein (OD tali)
- Sehnenpathologie anderer Sehnen an Fuß und Sprunggelenk (lange Beugesehne Großzehe, Peronealsehnen, Tibialis posterior Sehne)
- Meniskoidsyndrom Sprunggelenk
- Gelenkskapselreizung (Synovialitis)
In den vergangenen Jahren hat die operative Versorgung von Fuß- und Sprunggelenkserkrankungen auch international an Bedeutung gewonnen. Durch die Vielzahl der Krankheitsbilder und die Komplexizität des Fußes mit vielen Gelenken und Strukturen auf kleinstem Raum haben sich in vielen Regionen auf Fußprobleme spezialisierte Zentren für die Behandlung dieser Erkrankungen etabliert. Gerade in dieser anatomischen Region ist es wichtig, die Gesamtsituation des Fußes inklusive des Sprunggelenkes zu erfassen, damit die Behandlung zum gewünschten Erfolg führt.
Die intensive Beschäftigung mit Sprunggelenks- und Fußerkrankungen hat auch zur Entwicklung endoskopischer Operationen (durch ein bleistiftdickes Rohr wird eine Kamera mit Lichtquelle und über einen ebenso großen Arbeitskanal ein Arbeitsgerät eingebracht und die Operation somit minimal invasiv durchgeführt) an Fuß und Sprunggelenk geführt. Wir dabei ein Gelenk operiert, spricht man von einer arthroskopischen Operation. Vorteil dieser Technik ist, daß das Weichteiltrauma und auch die postoperativen Schmerzen sehr gering sind und auch die Heilung im Regelfall viel schneller erfolgt als mit einer offenen Operation.
Am häufigsten ist sicherlich die Arthroskopie des oberen Sprunggelenks. Dabei können störende Knochenneubildungen, Gelenkskapselverdickungen und auch Knorpelschäden bis hin zu Knorpel-Knochen-Defekten (OD, osteochondrale Läsion, Osteochondrosis dissecans) behandelt werden. Als neuartige Operationsmethode ist die rein arthroskopisch durchgeführte Bandrekonstruktion am oberen Sprunggelenk anzuführen.
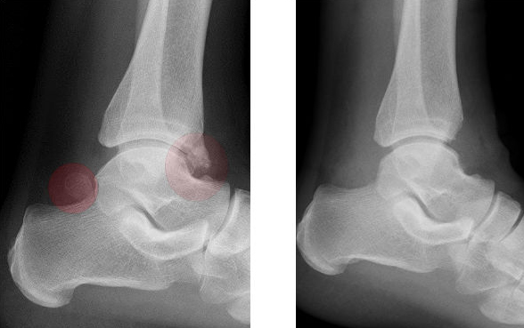
Röntgenbild eines Sprunggelenkes vor und nach Entfernung eines os trigonum und eines knöchernen Sporns (Osteophyt) - beides rot eingekreist
Auch die arthroskopische Versteifung des oberen Sprunggelenkes ist zu einem Routineverfahren geworden. Gerade bei diesem Problem kann am Röntgen sehr gut die schnelle knöcherne Heilung festgestellt werden.
Röntgenbilder und intraoperative Bilder des Schraubensetzens bei der Versteifung des oberen (links und Mitte oben)sowie des unteren Sprunggelenkes (Mitte unten und rechts)
Die arthroskopische Behandlung des unteren Sprunggelenkes wird v.a. bei einer Arthrose zur Durchführung einer arthroskopischen Versteifung des unteren Sprunggelenkes vorgenommen. Auch kann mittels dieser Technik ein symptomatischer zusätzlicher Knochen (os trigonum) an dieser Lokalisation arthroskopische vorgenommen werden.
Röntgenbild und Foto vor und nach arthroskopischer Abtragung einer Haglundferse
Besteht eine größere knöcherne Anlagerung, die die Achillessehne „durchwächst" bzw. die bis unter den Achillessehnenansatz reicht, sodass dieser bei der Korrektur teilweise oder manchmal sogar ganz abgelöst werden muss, kann die Sehne über ein spezielles Verstärkungsband über separate Dübel im Fersenbein neu verankert werden.
Eine weitere Indikation stellt die arthroskopische Abtragung sowohl des oberen als auch unteren Fersenspornes dar. Gerade diese Erkrankungen führen zu einer deutlichen Einschränkung der Lebensqualität mit jahrelanger Schmerzanamnese. Die offene Abtragung des Fersenspornes hat auch in der international Literatur aufgrund unkalkulierbarer Ergebnisse praktisch keinen Stellenwert mehr.
Ein fünftes arthroskopischen Verfahren stellt die hintere Arthroskopie des oberen Sprunggelenks dar. Dieses Verfahren ermöglicht die Entfernung von hinteren Knochenappositionen am Sprunggelenk, die Resektion einer verdickten Gelenkskapsel oder die Behandlung der langen Großzehenbeugesehne (M. flexor hallucis), die manchmal mechanisch entzündet sein kann durch eine Verengung des knöchernen Kanals, in dem sie verläuft.

Eine seltene arthroskopische Operation stellt die Behandlung der Achillessehne dar. Häufig werden Problem im hinteren Fußbereich als „Fersensporn“ fehlinterpretiert und somit nicht oder das Problem mit der „falschen“ Therapie behandelt. Probleme in diesem Bereich sind nicht so selten durch die Achillessehne oder deren Begleitstrukturen verursacht und lassen sich in solchen Fällen sehr gut mit dieser minimalen Operationstechnik behandeln.
Alles diese Operationen werden entweder in einer Allgemeinnarkose oder Rückenmarksbetäubung vorgenommen. Die jeweilige Nachbehandlung richtet sich nach dem Operationsverfahren.
Intraoperatives Bild einer Sehnenscheidenreizung der Achillessehne vor der operativen Sanierung (links) und nachher (rechts)