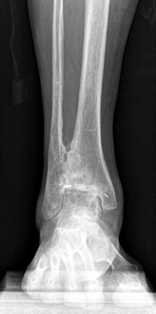
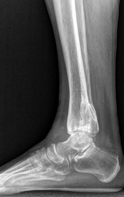
Bei Patienten mit schwerer Degeneration des Sprunggelenks (Arthrose) sind typische Symptome Schmerzen, fehlende Stabilität, Reduktion der Gehfähigkeit, Verschlechterung des Bewegungsumfanges des Sprunggelenks und oft auch zunehmende Fehlstellung des gesamten Fußes (X-Bein, O-Beinfehlstellung). Bei leichteren Formen leiden die Patienten unter Belastungsschmerzen, während bei fortgeschrittener Arthrose die Schmerzen auch in Ruhe auftreten.
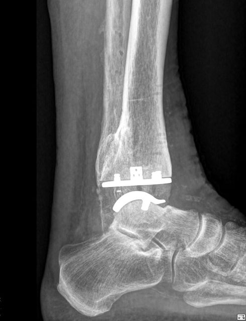
Bei eine Totalendoprothese des Sprunggelenks wird die verschlissene Oberfläche der Knochen mittels Implantaten ersetzt.

Die Verankerung im Knochen erfolgt zementfrei. Der körpereigene Knochen wächst nach einigen Wochen in die Oberflächenstruktur der Prothese ein, sodaß diese mit dem Knochen fix verankert ist. Die eigenen biologischen Bänder des Sprunggelenks bleiben dabei erhalten. Die Operation dauert in erfahrener Hand ca. 2 Stunden. Bis zur Abheilung der Hautwunde sollte nur eine geringe Belastung des Fußes erfolgen. Dabei wird eine Unterschenkelschiene zur Stabilisierung verwendet. Je nach Kraft und Geschicklichkeit benötigt man aus Sicherheitsgründen zwischen 2 und 6 Wochen Krücken zum Gehen. Aufgrund der komplexen Anatomie des Fußes und der häufigen Begleitpathologien sind häufig gleichzeitig noch andere Korrekturen am Fuß notwendig. Ein gleichzeitig bestehender Achsfehler des Fußes wird im Rahmen der Prothesenimplantation mitkorrigiert.
Wichtig ist, dass vor dem Schritt zur Totalendoprothese die nicht-operativen Alternativen diskutiert bzw. ausgeschöpft werden. Typische nicht-operative Mittel sind orthopädietechnische Hilfsmittel wie Einlagsohlen. Injektionen in das Sprunggelenk (sog. Infiltration), Physiotherapie und Schmerzmedikamente.





OSG-TP vorher-nachher