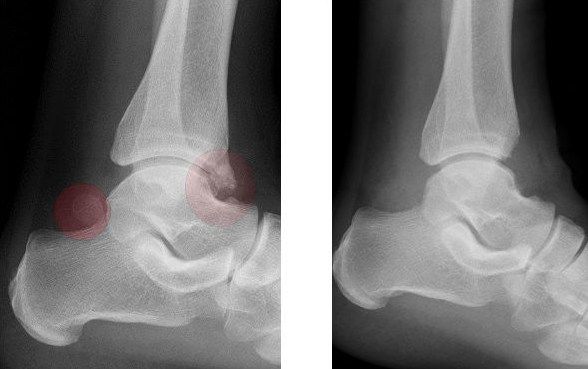
Im Bereich des unteren Sprunggelenks kann es zur Entwicklung eines zusätzlichen Knochenanteiles (os trigonum) kommen. Dies kann gerade im Zehenspitzenstand zu einer „Einklemmsituation" mit der Schienbeinkante führen. Zusätzlich kann es zu einer Mitreizung der Sehne des Großzehenbeugers kommen, was sich in einem ziehenden Schmerz, der sich häufig in die Fußsohle verlagert äußert. Besteht ein solches symptomatisches Os trigonum ist die Therapie der Wahl die operative Entfernung mittels arthroskopischer Technik, um das Weichteiltrauma möglichst gering zu halten.

Röntgenbild eines Sprunggelenkes vor und nach Entfernung eines os trigonum und eines knöchernen Sporns (Osteophyt) - beides rot eingekreist