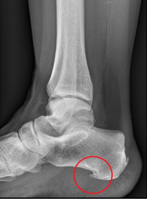
Kerbung der Plantaraponeurose bei plantarer Fasziitis (plantarer Fersensporn)

Eine häufige Erkrankung am Fuß stellt die sogenannte plantare Fasziitis (umgangssprachlich häufig als „plantarer Fersensporn" bezeichnet) dar. Dabei handelt es sich im Wesentlichen um ein degeneratives Überlastungssyndrom des Plantaraponeurosenansatzes am unteren Fersenbeinhöcker. Das klassische Leitsymptom sind plantare (an der Fußsohle) Fersenschmerzen, manchmal mit Ausstrahlung entlang der Fußsohle, und gelegentlich auch eine lokale Schwellung. Die Schmerzen entwickeln sich schleichend und sind üblicherweise belastungsabhängig. Häufig bestehen sie über viele Monate und unterschiedliche Therapieversuche von Einlagsohlen über Stoßwellenbehandlung wurden oft schon versucht.
Kann konservativ keine Verbesserung erreicht werden, stellt die Sehnenkerbung der Plantaraponeurose, am besten unter arthroskopischer Kontrolle, eine effektive Therapievariante dar.

Diese wird normalerweise kombiniert mit einer arthroskopisch kontrollierten Knochenspornabtragung am Fersenbein, um eine neuerliche Druckproblematik verhindern zu können.

Eine genaue Abklärung der Ursachen ist jedoch vorher unablässig, um mögliche Fehlstellungen des Fersenbeines zu erkennen und gegebenenfalls mitkorrigieren zu können.