Arthroskopische Operationen

Arthroskopische Operationen - Übersicht

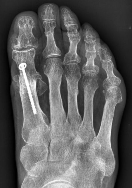
Großzehengrundgelenksversteifung (Großzehengrundgelenksarthrodese)

Details

Arthroskopische Behandlung der Sesambeinchen und Beugesehne des Großzehens

Details

Weitersagen

Ich denke sowieso mit dem Knie.

Joseph Beuys

Google Maps

Adresse

OFZ | Orthopädie für Hüfte, Knie & Fuß im Zentrum
Innrain 2
A-6020 Innsbruck in Tirol
Österreich
+43 512 563900
email Web

Öffnungszeiten

Montag bis Freitag nach Vereinbarung. Wir bitten um telefonische Voranmeldung bzw. Terminvereinbarung

Termin

Priv.-Doz. Dr. Gerhard Kaufmann
Wahlarzt
Vertragsarzt: KUF

Priv.-Doz. Dr. Mag. Michael Liebensteiner
Wahlarzt

OFZ | Orthopädie für Hüfte, Knie & Fuß im Zentrum
ImpressumAktuellesPartnerDatenschutz

powered by webEdition CMS