Viele Überlastungsyndrome und Fehlbelastungen führen zu einer Überlastung der Metatarsalköpfchenreihe, was als Metatarsalgie bezeichnet wird. Oft ist dies Problematik verbunden mit einer Überlastung der Fußsohlen-Weichteile mit Entwicklung einer Mortonneuralgie oder eines Mortonneuroms. Häufig ist eine nicht behandelte Hallux valgus Deformität die Ursache für das Entstehen einer solchen Überlastung (Transfer-Metatarsalgie), da es zu einer Belastungsverschiebung auf die äußeren Zehenstrahlen kommt.
Therapeutisch kommen zunächst konservative Maßnahmen (Schuheinlagen, Physiotherapie und Selbstbeübung) in Frage. Wird durch diese Therapien keine Besserung erreicht, ist mitunter eine operative Behandlung notwendig.
Ziel einer Operativen Korrektur ist die direkte Druckentlastung der Metatarsalköpchenreihe. Dabei gibt es im Wesentlichen 2 Korrekturmöglichkeiten.
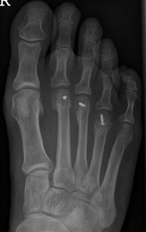
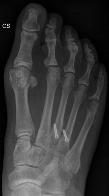
Einerseits kann eine direkte Verkürzung und damit auch Anhebung des Metatarsalköpfchens durch eine Weil-Osteotomie durchgeführt werden. Dabei wird das Grundgelenk des betroffenen Zehenstrahls eröffnet, um den Knochen zehennahe durchtrennen zu können.

Ist nur ein Zehenstrahl betroffen, bzw ist bereits eine Weil-Osteotomie durchgeführt worden, kann proximal (auf Höhe des Fußristes) eine anhebende Osteotomie vorgenommen werden (BRT-Osteotomie). Vorteil dabei ist, daß kein Gelenk eröffnet werden muß.


Die Weil-Osteotomie kann in minimalinvasiver Technik nur über Minischnitte (Stichinzisionen) durchgeführt werden. Die minimalinvasive Operationsmethode bedeutet ein sehr weichteilschonendes Verfahren, was sich in einer geringeren Schwellneigung und einem niedrigeren postoperativen Schmerzniveau äußert.