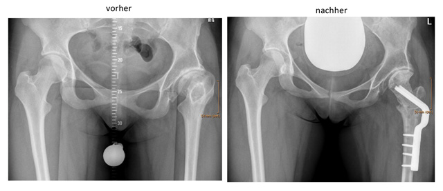
Die Proximale Femur Osteotomie bezeichnet die Achskorrektur am oberen Teil des Oberschenkelknochens. Meist sind Drehfehler (Knochentorsion) und Abweichungen des Schenkelhalses in X-Richtung Grund für die Operation.
Die häufigst durchgeführte Technik der Proximalen Femur Osteotomie geschieht mittels chirurgischem Zugang von der Außenseite des Oberschenkel. Nach Durchtrennung des Knochens und Neupositionierung in der gewünschten Position wird die erzielte Korrektur mittels Schrauben-Platten-System gehalten, ähnlich wie bei einem Knochenbruch.

Bei speziellen Indikationen, v.a. nach chirurgischen Vorverhandlungen, kann eine Korrekturosteotomie des Schenkelhalses auch mit gleichzeitiger Verlängerung des Schenkelhalses notwendig werden.
Intertrochantäre Ostetomie

