Als periacetabuläre Osteotomie bezeichnet man eine knöcherne Umstellungsoperation im Bereich der Hüftpfanne.
Der häufigste Grund für die Durchführung einer periacetabulären Osteotomie ist eine angeborene Huftdysplasie. Bei dieser Erkrankung ist die Hüftpfanne zuwenig tief ausgebildet.
Dadurch bietet sie dem Hüftkopf zu wenig Stabilität. Typischerweise entstehen die Schmerzen im jüngeren Erwachsenenalter.
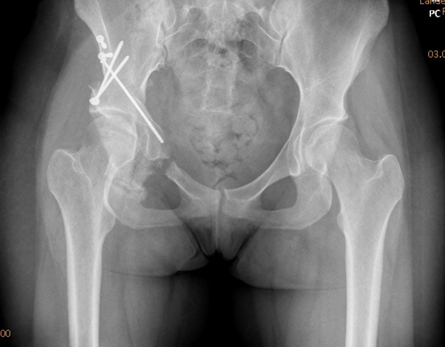
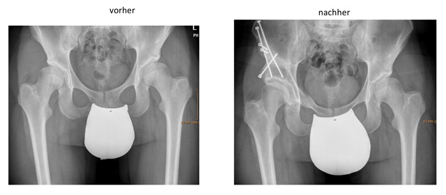
Bei der Operation wird der Beckenknochen in der Umgebung der Pfanne kontrolliert durchtrennt und die Pfanne dann neu orientiert und meist mit Schrauben wieder fixiert. Dadurch kann die Pfanne bezüglich Tiefe und Ausrichtung verändert werden.
In manchen Fällen ist die Ursache für diese Operationsart auch ein sog. Femoroacetabuläres Impingement (FAI).
Typische Arten der Periacetabulären Osteotomien sind:
- Pemberton-Osteodomie
- Walter-Osteodomie
- Triple-Osteodomie
- Tönnis-Osteodomie
- Chiari-Osteodomie und
- Ganzosteotomie
Triple-Osteodomie

Ganz-Osteotomie


Chiari-Ostetomie
